Описание заболевания, симптомы и причины, методы лечения.
Лечение в центре "Новый Шаг"!
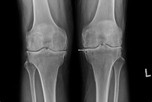
Артроз коленного сустава — дегенеративно-дистрофическое заболевание, причиной развития которого является поражение хрящевой ткани суставных поверхностей, принимающих на себя основную нагрузку при движении. Артроз — дистрофическое заболевание суставов, связанное с медленной дегенерацией и разрушением внутрисуставного хряща. При подтверждении диагноза «Артроз коленного сустава» или по научному (гонартроз) лечение назначается только врачом.
Важно отметить, что сам артроз не лечится. Если есть уже дегенеративные изменения в суставе — их никуда не деть. Здесь важнее выбрать метод лечения. Основной упор делается на «торможение дегенеративных изменений», т. е. торможение дальнейшего развития артроза.
При этом врач обязательно должен определить причину гонартроза и устранить ее при возможности. Так, к артрозу коленного сустава могут вести травмы менисков и растяжения (разрывы) связок, избыточная масса тела, нарушения обмена веществ.
Симптомы и причины артроза коленного сустава:
Основными причинами артроза коленного сустава могут быть травмы различного характера, с нарушением подвижности сустава на длительный срок; хирургические операции на колено; заболевания суставов; чрезмерная нагрузка на колени; ослабленный иммунитет; избыточный вес; вирусные заболевания; вредные привычки.
Болезнь развивается в медленном темпе и может с годами доставлять небольшой дискомфорт. При дальнейшем развитие начинают нарастать болевые ощущения, появляется скованность в движениях, меняется форма колена.
Почему стоит обратиться за помощью к квалифицированному специалисту?
При отсутствии лечения артроз коленного сустава ведет к инвалидности.
Методы лечения:
Консервативное лечение:
Заключается в снятии нагрузки на сустав за счет укрепления мышц вокруг него, так как мышцы берут на себя большую нагрузку, не давая мыщелкам бедра тереться друг о друга. Не исключается назначение физиотерапии для уменьшения воспаления, а также легкого массажа. В ряде случаев назначаются инъекции в полость коленного сустава для улучшения питания хряща. Обязательно назначается плавание в бассейне с определенными упражнениями и лечебная физкультура.
Оперативное лечение:
Как правило необходимо при III степени артроза, а также пациентам, кому не помогло консервативное лечение, у кого не проходят болевые ощущения и имеется ярко выраженный отек в суставе. Сама операция в данном случае достаточно сложная, а реабилитация требует долгого восстановительного периода.
Есть 2 варианта хирургического вмешательства при артрозе:
Не терпите боль в области суставов, не заглушайте ее приемом обезболивающих препаратов, не откладывайте визит к специалисту надолго, чтобы иметь возможность восстановить подвижность коленного сустава в кратчайшие сроки. В этом вам помогут специалисты спортивно-реабилитационного центра «Новый Шаг».
Записаться на консультацию можно по телефону +7 (495) 477-55-40 или через онлайн-форму обратной связи.
Лечение в центре "Новый Шаг"!
Артроз коленного сустава — дегенеративно-дистрофическое заболевание, причиной развития которого является поражение хрящевой ткани суставных поверхностей, принимающих на себя основную нагрузку при движении. Артроз — дистрофическое заболевание суставов, связанное с медленной дегенерацией и разрушением внутрисуставного хряща. При подтверждении диагноза «Артроз коленного сустава» или по научному (гонартроз) лечение назначается только врачом.
Важно отметить, что сам артроз не лечится. Если есть уже дегенеративные изменения в суставе — их никуда не деть. Здесь важнее выбрать метод лечения. Основной упор делается на «торможение дегенеративных изменений», т. е. торможение дальнейшего развития артроза.
При этом врач обязательно должен определить причину гонартроза и устранить ее при возможности. Так, к артрозу коленного сустава могут вести травмы менисков и растяжения (разрывы) связок, избыточная масса тела, нарушения обмена веществ.
Симптомы и причины артроза коленного сустава:
Основными причинами артроза коленного сустава могут быть травмы различного характера, с нарушением подвижности сустава на длительный срок; хирургические операции на колено; заболевания суставов; чрезмерная нагрузка на колени; ослабленный иммунитет; избыточный вес; вирусные заболевания; вредные привычки.
Болезнь развивается в медленном темпе и может с годами доставлять небольшой дискомфорт. При дальнейшем развитие начинают нарастать болевые ощущения, появляется скованность в движениях, меняется форма колена.
Почему стоит обратиться за помощью к квалифицированному специалисту?
При отсутствии лечения артроз коленного сустава ведет к инвалидности.
Методы лечения:
Консервативное лечение:
Заключается в снятии нагрузки на сустав за счет укрепления мышц вокруг него, так как мышцы берут на себя большую нагрузку, не давая мыщелкам бедра тереться друг о друга. Не исключается назначение физиотерапии для уменьшения воспаления, а также легкого массажа. В ряде случаев назначаются инъекции в полость коленного сустава для улучшения питания хряща. Обязательно назначается плавание в бассейне с определенными упражнениями и лечебная физкультура.
Оперативное лечение:
Как правило необходимо при III степени артроза, а также пациентам, кому не помогло консервативное лечение, у кого не проходят болевые ощущения и имеется ярко выраженный отек в суставе. Сама операция в данном случае достаточно сложная, а реабилитация требует долгого восстановительного периода.
Есть 2 варианта хирургического вмешательства при артрозе:
- замена коленного сустава (эндопротезирование);
- использование мембраны.
Не терпите боль в области суставов, не заглушайте ее приемом обезболивающих препаратов, не откладывайте визит к специалисту надолго, чтобы иметь возможность восстановить подвижность коленного сустава в кратчайшие сроки. В этом вам помогут специалисты спортивно-реабилитационного центра «Новый Шаг».
Записаться на консультацию можно по телефону +7 (495) 477-55-40 или через онлайн-форму обратной связи.
